whatspp
  Appointment

Which Is Better: Braces or Aligners in Hyderabad?

Choosing the right orthodontic treatment can feel confusing, especially when deciding between braces and aligners. At Q Dental, patients in Hyderabad often ask which option works best for their smile, comfort, and lifestyle. Both treatments aim to correct misaligned teeth and bite issues, but they differ in appearance, maintenance, and suitability. Understanding these differences will help you make an informed choice that suits your dental needs and daily routine.


image

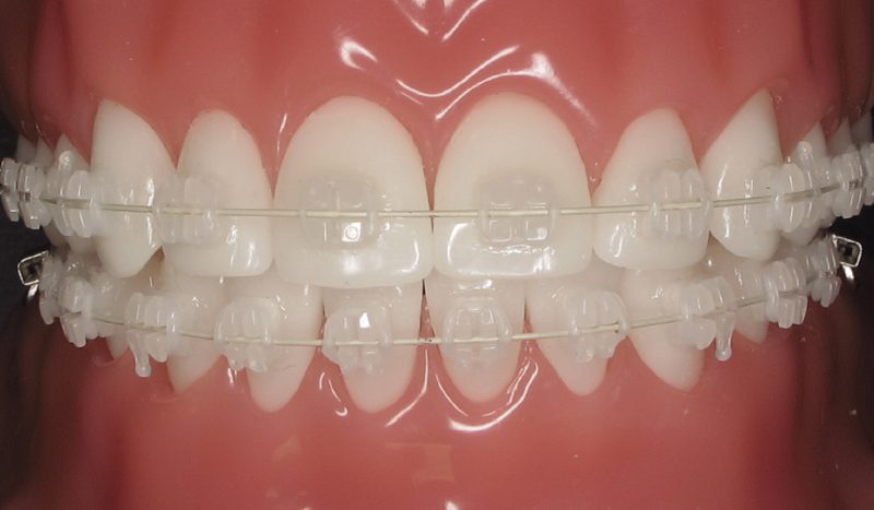
Understanding Braces

Braces are a traditional and highly effective orthodontic solution used for decades. They consist of metal or ceramic brackets fixed to the teeth and connected by wires that gradually move teeth into the correct position.

Benefits of braces include:


⦿    Suitable for complex dental issues
⦿    Constant treatment (no removal needed)
⦿    Predictable and controlled results
⦿    Available in metal and tooth-colored ceramic options
Braces are ideal for patients with severe crowding, bite problems, or jaw alignment issues. Though visible, modern braces are more comfortable and efficient than before.

Understanding Aligners

Aligners are clear, removable trays designed to straighten teeth gradually. They are custom-made using digital scans and are popular among adults and teenagers who prefer a discreet option. Benefits of aligners include: ⦿    Nearly invisible appearance
⦿    Removable for eating and cleaning
⦿    Comfortable with no sharp edges
⦿    Fewer clinic visits
Aligners work best for mild to moderate alignment problems. However, discipline is essential, as they must be worn 20–22 hours a day for effective results.
image
image

Braces vs Aligners: Key Differences

Here’s a simple comparison to help you decide:
⦿    Appearance:
Braces are visible
Aligners are clear and discreet
⦿    Comfort:
Braces may cause initial discomfort
Aligners are smoother and more comfortable
⦿    Maintenance:
Braces need careful cleaning
Aligners are easy to remove and clean
⦿    Effectiveness:
Braces handle complex cases better
Aligners suit mild to moderate cases

Which Option Is Better for You?

The right choice depends on:
⦿    Severity of your dental issue
⦿    Age and lifestyle
⦿    Budget considerations
⦿    Commitment to wearing aligners regularly
An Orthodontic Consultation is essential to determine what works best for your smile. At Q Dental, specialists evaluate your teeth using advanced technology to recommend the most effective treatment.

Cost of Braces and Aligners in Hyderabad

The cost varies based on treatment complexity and duration.
⦿    Braces generally cost less upfront
⦿    Aligners may cost more due to technology and customization
Your dentist will provide a transparent treatment plan after assessment, ensuring there are no surprises.
image
image
image

Why Choose Q Dental in Hyderabad?

⦿    Experienced orthodontic specialists
⦿    Advanced digital scanning technology
⦿    Personalized treatment plans
⦿    Transparent pricing and guidance
Q Dental focuses on long-term results, comfort, and patient satisfaction.

Conclusion

Both braces and aligners are effective orthodontic treatments, but the best option depends on your individual needs. Braces are ideal for complex corrections, while aligners suit those seeking comfort and discretion. To make the right choice, professional guidance is essential. Contact Us at Q Dental to book a consultation and take the first step toward a confident, healthy smile.


Frequently Asked Questions

Frequently Asked Questions
1. Are aligners as effective as braces?
Yes, for mild to moderate cases. Severe issues may need braces.
2. How long does orthodontic treatment take?
Usually between 12 to 24 months, depending on the case.
3. Are braces painful?
Mild discomfort is normal initially but reduces over time.
4. Can I eat normally with aligners?
Yes, aligners are removable during meals.
5. Which option is better for adults?
Aligners are often preferred for their discreet appearance.
6. Do aligners require more discipline?
Yes, they must be worn consistently for results.
7. Are ceramic braces less visible?
No, just regular brushing and flossing.
8. How often are follow-ups required?
Braces need regular visits; aligners usually need fewer.
9. Can teenagers use aligners?
Yes, if they are responsible with wear time.
10. How do I choose between braces and aligners?
Consult an orthodontist for a personalized recommendation.